Medizintechnik

Medizintechnik

Sehbehinderte sollen durch Elektrostimulationen besser sehen

Nur Projekte mit wissenschaftlicher Exzellenz, die disziplinübergreifend innovative und vielversprechende Forschungsfelder umfassen, neue industrielle Impulse…

Medizintechnik

Lichtorgel im Ohr: Erstmals Einsatz von vielkanaligen Cochlea-Implantaten mit Mikro-Leuchtdioden

Herkömmliche Hörprothesen, sog. Cochlea-Implantate (CI), regen den Hörnerv hochgradig schwerhöriger oder tauber Menschen mittels elektrischen Stroms an.

Medizintechnik

Wird Telemonitoring zur Routineversorgung bei Herzinsuffizienz?

Herzinsuffizienz ist in Deutschland der häufigste Grund für eine Klinikeinweisung. Die von der Würzburger Kardiologin Christiane Angermann geleitete…

Medizintechnik

Gesundheit zum Anziehen

Nicht nur im Sommer kann es beim Sporttreiben heiss werden, denn auch Sport im Winter hat seine Tücken. Draussen ist es bitterkalt und warme Kleidung ist…

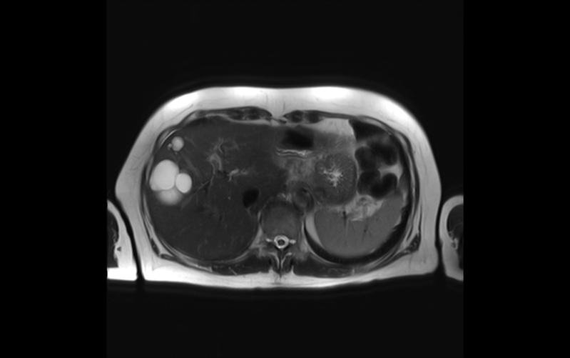
Medizintechnik

Bessere Bilder von der Leber

Es gibt einige Gründe, warum Ärztinnen und Ärzte möglichst gute Bilder von der Leber brauchen. Zum Beispiel streuen viele Tumorarten Metastasen in die Leber,…

Medizintechnik

Intelligente Ultraschallwandler überwachen kontinuierliche Blasenspülung

Blut im Urin ist nach operativen Eingriffen an den Harnwegen jedweder Art ein häufiges Symptom. Die kontinuierliche Dauerspülung der Blase wird standardmäßig…

Medizintechnik

Viszeralchirurgen und Radiologen setzen bei Lebertumor-OP erstmals intraoperatives MRT der Leber ein

Durch den Einsatz des intraoperativen MRT (ioMRT) lässt sich Narbengewebe in der Leber besser von vitalem Tumorgewebe unterscheiden als mit herkömmlichen…

Medizintechnik

Künstliche Intelligenz für die Medizintechnik

Mit Methoden der Künstlichen Intelligenz (KI oder AI – Artificial Intelligence) können Maschinen in komplexen Situationen automatisch analysieren, entscheiden…

Medizintechnik

Chirurgie: Die OP-Beleuchtung „denkt mit“

Die Erhöhung der Sicherheit im Operationssaal steht im Mittelpunkt des neuen Forschungsprojekts „Smart-OT“ (englische Abkürzung für „Intelligente…

Medizintechnik

Der implantierte Code: Produktkennzeichnung für jahrzehntelange Nachverfolgung entwickelt

Schulter, Hüfte, Knie – wer heute ein Implantat trägt, hat auch einen Implantatpass bei sich. Er gibt Auskunft über die genaue Bezeichnung, die Seriennummer…

Medizintechnik

Neu: Diamanttechnik im Herzkatheterlabor

Prof. Dr. Philipp Sommer, Direktor der Klinik für Elektrophysiologie/Rhythmologie am Herz- und Diabeteszentrum NRW, Bad Oeynhausen, hat mit dem neuartigen,…

Medizintechnik

Hochauflösende 3D-Ansicht des Tumorinneren

Brustkrebs ist die häufigste Krebsart bei Frauen. Einzelne Tumore können sich erheblich voneinander unterscheiden und innerhalb ihrer Masse abweichende…

Medizintechnik

I-call – Wenn Mikroimplantate miteinander kommunizieren / Innovationstreiber Digitalisierung – »Smart Health«

Wenn mikroelektronische Systeme für medizintechnische Anwendungen eingesetzt werden, müssen sie hohe Anforderungen hinsichtlich Biokompatibilität,…

Medizintechnik

Kostengünstige Netzhaut-Diagnostik per Smartphone

Zu den gefährlichsten Begleiterscheinungen von Diabetes zählen Gefäßschädigungen. In der Netzhaut, der lichtempfindlichen Schicht im Auge, die fachsprachlich…

Medizintechnik

Technologie-Innovation für die Neurologie: Hirnsignal-Messung mittels gedruckter Tattoo-Elektroden

Im Jahr 2015 entwickelte Francesco Greco, Leiter des Laboratory of Applied Materials for Printed and Soft electronics (LAMPSe; http://lampselab.com/) am…

Medizintechnik

Implantat auf Maß: Patientenspezifische Therapie macht Knochenbrüche berechenbar

Ist etwas sprichwörtlich „kein Beinbruch“, ist es nicht so schlimm. Die Redensart trifft aber auch im Umkehrschluss zu: Ein Beinbruch kann sich schlimm…

Rückmeldung