Medizintechnik

Medizintechnik

Erster Ersatz eines Aortenbogens ohne offene Operation

Zum ersten Mal in der Schweiz setzten Gefässchirurgen des USZ eine Aortenbogenprothese komplett minimalinvasiv, ohne Schnitte, über eine Leistenarterie und Zugänge in den Armen ein. Die übliche Operation hätte die schwerkranke Patientin nicht überstanden. Nun geht es ihr wieder gut. Bei gefährlichen Erweiterungen der Aorta (Hauptschlagader) oder bei einem Aortenriss wird der schadhafte Abschnitt mit einem gitterartigen Stent verstärkt bzw. durch eine Aortaprothese ersetzt. Diese Eingriffe können seit einiger Zeit endovaskulär, also mittels Kathetertechnik über einen Zugang über ein Leistengefäss…

Medizintechnik

KI ermöglicht sekundenschnelle Diagnose von Lungenverletzungen

Die Segmentierung von Lungen-CT-Bildern ist ein essenzieller Schritt in der Diagnostik schwerer Lungenverletzungen. Das herkömmliche Verfahren kann bis zu drei Stunden beanspruchen. Forschern der Westsächsischen Hochschule Zwickau (WHZ) ist es nun gelungen, das Procedere in Sekunden zuverlässig durchzuführen. Das Forscherteam der Data Science Research Group an der WHZ, angeführt von Prof. Mike Espig, hat in enger Zusammenarbeit mit Prof. Andreas Reske, Chefarzt am Heinrich-Braun-Klinikum Zwickau, einen innovativen Ansatz zur Diagnostik von Lungenverletzungen vorgestellt. Mittels modernster KI-Methoden wurde ein Algorithmus entwickelt,…

Medizintechnik

EKG per Pflaster

Europäisches Verbundprojekt APPLAUSE erfolgreich abgeschlossen. Forschende am Fraunhofer IZM haben zusammen mit 31 Partner*innen aus Industrie und Forschung ein dehnbares und kabelloses Pflaster entwickelt, mit dem diagnostisch relevante Herzüberwachung in den Alltag gebracht werden kann. Damit lässt sich die Zahl stationärer Untersuchungen für Risikopatient*innen reduzieren. Weiterhin wird die Halbleiter-Wertschöpfungskette für den Medizinsektor in Europa durch die Entwicklung neuer Werkzeuge, Methoden und Prozesse für die Serienfertigung gestärkt. Mit Smartwatches die eigene Fitness zu tracken, gehört für viele Menschen zum Alltag. Mit…

Medizintechnik

“Kunstherz”-Rekord am DHZC

Zum 500. Mal wurde am DHZC jetzt ein „Kunstherz“ vom Typ „HeartMate 3“ eingesetzt – ein internationaler Rekord. Die direkt am Herzen implantierte Kreislaufpumpe bietet Patient:innen mit Herzschwäche im Endstadium eine Therapieoption, wenn eine Transplantation nicht möglich ist oder ein Spenderherz nicht rechtzeitig zur Verfügung steht. Trägerin des fünfhundertsten am DHZC implantierten „HeartMate 3“ ist Viktorija N. aus Kiew. Die 33-Jährige leidet seit 10 Jahren an den Folgen einer Herzmuskelentzündung. Gemeinsam mit ihrer Mutter flüchtete sie im März 2022 aus…

Medizintechnik

Verteilte Künstliche Intelligenz für den Operationssaal

Forschungsprojekt DAIOR: Im Forschungsprojekt DAIOR arbeiten das Fraunhofer IPA zusammen mit Partnern daran, den Operationssaal der Zukunft mithilfe von Künstlicher Intelligenz (KI) und roboterassistierter Telechirurgie zu realisieren. Dabei sollen chirurgische Daten aus multimodalen Quellen mit KI-Methoden kontinuierlich analysiert werden, um Operationen in Echtzeit zu unterstützen. Daten zu nutzen, um medizinisches Personal bei der Behandlung oder bei der Operation eines Patienten zu unterstützen, ist das Ziel des Projekts DAIOR. Das Akronym ist die Abkürzung für »Distributed Artificial Intelligence for the Operating…

Medizintechnik

Neue Generation der Kapselschrittmacher

Langsamer Herzschlag: Eine neue Generation der Kapselschrittmacher verbessert die Lebensqualität. Keine Kabel, nicht spürbar, besonders langlebig: In der Klinik für Elektrophysiologie/ Rhythmologie unter der Leitung von Prof. Dr. Philipp Sommer, Herz- und Diabeteszentrum NRW (HDZ NRW), Bad Oeynhausen, und weiteren Zentren bundesweit wird jetzt erstmals eine neue Generation elektrodenloser Herzschrittmacher mittels Katheter eingesetzt. Neben dem medizintechnischen Fortschritt versprechen die neuen, nur 38 Millimeter großen und in die rechte Herzkammer zu platzierenden Mini-Pulsgeber weniger Komplikationen und dadurch Lebensqualität für viele Patientinnen…

Medizintechnik

Wie ein Saugnapf Medikamente ins Blut befördert

For­schen­de der ETH Zü­rich ha­ben ei­nen Saug­napf ent­wi­ckelt, mit dem Me­di­ka­men­te über die Wan­gen­schleim­haut auf­ge­nom­men wer­den kön­nen. Die­ser neue An­satz könn­te Mil­lio­nen von Pa­ti­en­ten und Pa­ti­en­tin­nen die mit In­jek­tio­nen ver­bun­de­nen Schmer­zen und Ängs­te er­spa­ren. Der Saugnapf der ETH-​Forschenden ermöglicht die schmerzfreie Einnahme von Arzneimitteln, die bis anhin nur injiziert werden konnten. Er dehnt die Wangenschleimhaut und macht sie in Kombination mit einem Mittel, das die Zellmembranen auflockert, durchlässiger für Wirkstoffe. Die Forschenden möchten die neue Verabreichungsform nun zur Marktreife bringen….

Medizintechnik

CT der Lunge: Neue Methode macht gleichzeitig Struktur und Funktion sichtbar

Ein Radiologie-Team der Medizinischen Hochschule Hannover (MHH) hat eine neue Technik zur Bildgebung der Lunge entwickelt. Bei den Untersuchungen nutzt es die innovative photonenzählende Computertomografie (CT). Die Aufnahmen schaffen neue Möglichkeiten bei der Diagnose und Beurteilung bestimmter Lungenerkrankungen. Wenn in der Radiologie neue Techniken entwickelt werden, geht es meist um zwei Dinge: Die Aufnahmen sollen möglichst aussagekräftig sein, die Strahlenbelastung für die Patientinnen und Patienten möglichst gering. Ein solches Verfahren hat ein Team des Instituts für Diagnostische und Interventionelle Radiologie…

Medizintechnik

Prothesenlockerung frühzeitig erkennen

Die Hochschule Coburg und Regiomed forschen gemeinsam an der Entwicklung einer innovativen Messtechnik, durch die eine Lockerung von Hüftprothesen bald im Frühstadium erkannt werden soll. Zukünftig soll es möglich sein, Veränderungen basierend auf einer Lockerung oder Entzündung von außen durch ein spezielles Ultraschallverfahren zu entdecken. Unsere Gesellschaft altert. Somit steigt auch die Zahl derer, die zum Beispiel ein künstliches Hüftgelenk benötigen. Das kann langfristige Folgen für das Gesundheitssystem haben. „In mehr als zehn Prozent der Fälle kommt es innerhalb von…

Medizintechnik

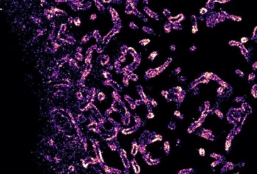
Komplexe Zuckerstrukturen auf der Zelloberfläche

… sollen Aufschluss über die Entstehung von Krebs geben. Die Glycocalyx ist eine hochkomplexe Struktur aus Zuckern, die jede Zelle im Körper umgibt. Wie die molekulare Organisation der Glycocalyx aussieht, wie sie durch genetische Veränderungen beeinflusst wird und wie diese auf zelluläre Prozesse rückkoppeln, ist Gegenstand der Forschung von Leonhard Möckl, Leiter der Forschungsgruppe ›Physikalische Glycowissenschaften‹ am Max-Planck-Institut für die Physik des Lichts in Erlangen. Für seine Forschungsvorhaben erhielt der Wissenschaftler gleich drei Grants in Höhe von insgesamt circa 580.000…

Medizintechnik

Meilenstein im Kampf gegen Pandemien

Forschende der TU Dresden schaffen richtungswei­sende Ansätze zum Nachweis viraler Antigene. Der Ausbruch der COVID-Pandemie im Jahr 2020 hat erneut gezeigt, wie wichtig zuverlässige und schnelle Erkennungsmethoden sind, um wirksame Maßnahmen zur Bekämpfung einer Pandemie einzuleiten. Wissenschaftler:innen der Professur für Materialwissenschaft und Nanotechnik der TU Dresden (TUD) konnten im Rahmen zweier Studien beachtliche Fortschritte in der Entwicklung von hochinnovativen Lösungen zur Erkennung von viralen Erregern erzielen. Die Ergebnisse ihrer Arbeit wurden jetzt in den Fachzeitschriften „ACS Applied Materials & Interfaces“…

Medizintechnik

Tiefere Einblicke in den Körper

Modernster MRT-Scanner enthüllt Gewebestrukturen wie nie zuvor. Europaweit erste Neuinstallation für die onkologische und kardiovaskuläre Bildgebung und Neurowissenschaften / Ultrastarke Magnetfeldgradienten bieten deutlich höhere Kontraste als bisher und machen Mikrostrukturen im Gewebe sichtbar. Am Universitätsklinikum Freiburg wurde am Dienstag, 12. September 2023 der europaweit modernste 3-Tesla-Ganzkörper-Magnetresonanztomograph (MRT) mit Patient*innenzulassung eingeweiht. Der Tomograph zeichnet sich durch eine sehr hohe räumliche Auflösung aus und ermöglicht unter anderem Einblicke in die Mikrostruktur des Gewebes. Die integrierte Unterstützung mittels Künstlicher Intelligenz erlaubt wesentlich schnellere…

Medizintechnik

Bioaktiver Knochenersatz aus dem 3D-Drucker

Das Aufkommen von 3D-Druckern vor wenigen Jahren wurde bestaunt und gefeiert. In den Medien wurden viele Anwendungsgebiete im Alltag ausgemacht. Auch die Forschung profitiert von dieser Technik – so wie die Wissenschaftlerinnen und Wissenschaftler im Sonderforschungsbereich 1270 „Elektrisch Aktive ImplaNtatE – ELAINE“ der Universität Rostock. Sie sind auf dem Weg, mit der 3D-Druck-Technologie große Knochendefekte zu behandeln. Der dreidimensionale (3D) Druck ist in den vergangenen Jahren fast zu einer Alltagstechnologie geworden. Doch was sich am Lehrstuhl für Mikrofluidik der Universität…

Medizintechnik

Mikroroboter für die Erforschung von Zellen

Chancen für Krebsbehandlung und Wundheilung. 30 Mikrometer große Roboter stimulieren Zellen Technologische Plattform zur Herstellung der Mikroroboter entwickelt Mechanismen der Ionenkanäle lassen sich beeinflussen Eine Forschendengruppe der Technischen Universität München (TUM) hat weltweit erstmals einen Mikroroboter entwickelt, der im Zellverbund navigieren und einzelne Zellen gezielt stimulieren kann. Die Professorin für Nano- und Mikrorobotik Berna Özkale Edelmann sieht darin das Potenzial, neue Behandlungsmethoden für den Menschen zu finden. Sie sind rund, halb so dick wie ein Haar, enthalten Goldstäbchen und fluoreszierenden…

Medizintechnik

Mit Spinnenhilfe Aortenprothesen OP-tauglich machen

MHH-Forschende arbeiten an Gefäßprothesen aus dem Bluteiweiß Fibrin. Die bioverträgliche Alternative für synthetische Kunststoff-Prothesen soll jetzt mit Spinnenseide verstärkt fit für den klinischen Einsatz werden. Die Hauptschlagader oder auch Aorta ist das größte Blutgefäß des Menschen. Sie entspringt dem Herzen und leitet das sauerstoffreiche Blut in alle Bereiche des Körpers. Die häufigste behandlungsbedürftige Erkrankung der Aorta ist eine Aussackung, das sogenannte Aneurysma. Weil an dieser Stelle der Durchmesser der Hauptschlagader erweitert ist, nehmen dort ihre Wanddicke ab und deshalb die…

Medizintechnik

Automatisierte Zellanalyse für die Krebsdiagnostik

Mithilfe des am Fraunhofer IPA entwickelten TissueGrinders – einer automatisierten Miniatur-Mühle für empfindliches Zellgewebe – können Kliniken auch ohne Hilfe eines ausgebildeten Pathologen die Zellproben von Krebspatienten schnell und präzise analysieren. Davon profitieren neben den Kliniken vor allem die Patienten. Wenn die Zellanalyse bereits während einer OP durchgeführt wird und nahezu sofort die richtigen Behandlungsschritte eingeleitet werden, bleibt den Patienten oft eine erneute OP erspart. Während einer Krebsoperation werden schnell genaue Informationen über das entnommene Gewebe benötigt, um den Chirurgen…

Rückmeldung