Medizintechnik

Medizintechnik

Computer erkennt Organe im Bauchraum auf Expertenniveau

Intelligente Computerprogramme haben das Potential, Chirurginnen und Chirurgen bei minimalinvasiven Operationen im Bauchraum dabei zu unterstützen, wichtige anatomische Strukturen zu erkennen. Programme, die mit großen Mengen hochwertiger Beispiel-Daten trainiert wurden, identifizieren Organe und weitere Strukturen ähnlich gut wie erfahrene Operateure. Dies zeigt eine Studie von Forschenden der Hochschulmedizin Dresden, am NCT/UCC Dresden, EKFZ und CeTI. Im kommenden Jahr soll das System erstmals im Operationssaal getestet werden. Künftig könnte es dazu beitragen, das Komplikationsrisiko zu senken. Die Studie wurde im International…

Medizintechnik

Schnellere und zuverlässigere Schlaganfalldiagnostik

… dank künstlicher Intelligenz. Wissenschaftlerinnen und Wissenschaftler des Universitätsklinikums Heidelberg, des Deutschen Krebsforschungszentrums und des Universitätsklinikums Bonn entwickelten Algorithmus zur automatisierten Auswertung von CT-Bildern / Für Forschungszwecke über Website kostenlos nutzbar / System ist mehreren kommerziell verfügbaren KI-Produkten zur Schlaganfalldiagnose deutlich überlegen / Ergebnisse im Journal „Nature Communication“ erschienen. Plötzlich auftretendes, anhaltendes Kribbeln im Arm oder ungewöhnlich heftige Kopfschmerzen? Die Frage, ob es sich dabei um einen Schlaganfall handelt, ist selbst nach der Computertomographie (CT) bisweilen nicht leicht zu beantworten….

Medizintechnik

Ionentherapie sicher und wirksam bei der Behandlung von Tumoren der Schädelbasis

Österreichisches Zentrum für Ionentherapie (MedAustron) demonstriert hervorragende Kontrolle kleiner bis mittelgroßer Chordome. MedAustron, Zentrum für Ionentherapie, hat die Sicherheit und Wirksamkeit sowohl der Protonen- als auch der Kohlenstoffionen-Therapie bei der Behandlung von Chordomen an der Schädelbasis, einer Knochenkrebsart, nachgewiesen. In einer kürzlich erschienenen Veröffentlichung in der Zeitschrift Cancers stellte die Einrichtung überzeugende Daten aus der Behandlung von 44 Patientinnen und Patienten mit dieser seltenen Krebsart vor. Alle Betroffene wurden zwischen August 2017 und Oktober 2021 bei MedAustron behandelt und erhielten entweder eine Protonen- oder eine Kohlenstoffionen-Therapie….

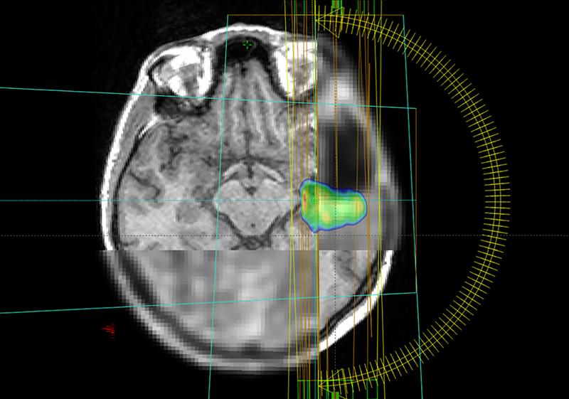
Medizintechnik

Aggressive Hirntumore dank innovativer Bildgebung und KI präzise bestrahlen

Mit 1,2 Millionen Euro fördert die Europäische Union ein internationales Projekt unter Leitung des Universitätsklinikums Freiburg zur Bestrahlung gefährlicher Hirntumore / Kombination von PET- und MRT-Bildgebung soll mit Künstlicher Intelligenz ausgewertet werden. Glioblastome sind seltene, aber besonders aggressive Hirntumore. Häufig werden sie mit einer Strahlentherapie behandelt. Ein internationales Forschungsteam unter Leitung des Universitätsklinikums Freiburg untersucht nun in der Studie MATTO-GBM, wie der Tumor mit maximaler Intensität bestrahlt und umliegendes, gesundes Gewebe geschont werden kann. Dabei setzen die Forschenden auf eine…

Medizintechnik

Protonen gegen Speiseröhrenkrebs

Am Paul Scherrer Institut PSI wurde heute ein 67-jähriger Patient mit Protonen, also positiv geladenen Teilchen, gegen Speiseröhrenkrebs bestrahlt. Es ist das erste Mal, dass in der Schweiz diese Bestrahlungsart an der Speiseröhre zum Einsatz kommt. Die fünfwöchige Behandlung erfolgt im Rahmen einer europäischen klinischen Studie, an der das PSI und das Universitätsspital Zürich gemeinsam teilnehmen. Ärzte und Ärztinnen erforschen, ob sich die Protonentherapie zur Behandlung dieser Krebsart eignet: Damit lassen sich möglicherweise Lungenkomplikationen verringern, die bei der klassischen Bestrahlung…

Medizintechnik

„Augmented Reality“ im neurochirurgischen OP

Neurochirurgen am UKL entwickeln chirurgisches AR-Navigationssystem für Eingriffe am Gehirn. Ein Eingriff am Gehirn findet heute mit minimalinvasiven Verfahren, aber damit auch mit eingeschränkter Sicht für den Operateur statt. Den zu operierenden Bereich muss er sich anhand von vorherigen Aufnahmen und während der Operation mit Hilfe dreidimensionaler Bildinformationen vorstellen. Das wollen die Neurochirurg:innen am Universitätsklinikum Leipzig (UKL) ändern, und haben dafür eine Software zur Unterstützung mittels Augmented Reality (AR) entwickelt. Das Projekt geht nun dank einer hohen Förderung in die…

Medizintechnik

Fließen macht Tumore gefährlich

Seit Menschengedenken ertasten Ärzte suspekte Verhärtungen unter der Haut. Dass es sich bei dieser uralten Untersuchungstechnik um eine zukunftsweisende diagnostische Methode handelt, haben nun Wissenschaftler:innen der Charité – Universitätsmedizin Berlin und der Universität Leipzig in Kooperation von klinisch-diagnostischer Radiologie und biophysikalischer Grundlagenforschung bewiesen. Sie fanden heraus, dass die Konsistenz eines Tumors entscheidend den weiteren Verlauf einer Krebserkrankung beeinflussen kann. Ihre neuen Erkenntnisse haben sie gerade in dem renommierten Fachjournal „Advanced Science“ veröffentlicht. Zunächst wurde an der Charité im Team der…

Medizintechnik

Mathematische Hilfe für die Medizin

Ein Forschungsprojekt an der Technischen Hochschule Nürnberg unterstützt die Medizin, indem es eine Simulation für Umbauprozesse am Knochen entwickelt. In der Zukunft könnte das dabei helfen, Komplikationen besser zu verstehen und die richtigen Therapiemethoden zu finden. Wenn Knie-, Hüft- oder Schulterprothesen versagen, ist das für die Patient*innen ein schmerzhaftes Problem. In einer immer älter werdenden Bevölkerung kommt es häufig vor, dass Implantate sich über die Jahre lockern – schuld sind beispielsweise Knochenveränderungen durch Osteoporose. Ein Forschungsprojekt an der Technischen Hochschule…

Medizintechnik

Wie man das Operieren im Rahmen der chirurgischen Ausbildung üben kann

Forschende der Professur Produktionssysteme und -prozesse der TU Chemnitz wollen mit Hilfe von Virtual Reality und neuen Haptik-Geräten eine einfache und preiswerte Trainingssimulation für Wirbelsäulen- und Hüft-Operationen entwickeln. Wie können angehende Chirurginnen und Chirurgen ihre sensomotorischen Fähigkeiten trainieren, bevor sie echte Operationen an Patientinnen und Patienten vornehmen? Während prozedurales Wissen gut mit Lehrmaterialien vermittelt werden kann, ist das Erlernen der sensomotorischen Fähigkeiten bisher nur durch die praktische Ausführung der Operationsschritte am Menschen möglich. Gerade im orthopädisch-unfallchirurgischen Bereich fehlen jedoch geeignete…

Medizintechnik

Endoprothetik mit minimalem Blutverlust

Blutungsarm Endoprothesen einsetzen – diesem Ziel hat sich die Orthopädie am Universitätsklinikum Leipzig (UKL) sehr erfolgreich verschrieben. Nach verschiedenen Umstellungen der Abläufe während und nach der Operation können die Chirurgen um Prof. Andreas Roth nicht nur den teilweise hohen Blutverlust beim Einsetzen einer Knie- oder Hüftprothese und Folgeprobleme wie Infektionen vermeiden, sondern so auch den Patient:innen schneller wieder auf die Beine helfen. Hinter Prof. Andreas Roth und seinem Team liegen vier Jahre voller Umstellungen. So lange hat es gedauert, bis…

Medizintechnik

Ein schneller Blick ins Menscheninnere

Physikern der Universität Würzburg ist es gelungen, eine neue bildgebende Technik reif für den Einsatz am Menschen zu machen. Radioaktive Marker und Strahlen sind dafür nicht nötig. Der iMPI-Scanner (links) ermöglicht neue Einblicke in den menschlichen Körper. Hier zu sehen ist eine Engstelle in einem Blutgefäß – aufgenommen mit konventionellen Röntgenstrahlen (b), mit dem Scanner (c) und in einer Kombination beider Techniken (d). (Bild: Patrick Vogel / Stefan Herz)   Bildgebende Verfahren wie die Computer-, Magnet-Resonanz- und Positronen-Emissions-Tomographie oder der…

Medizintechnik

Ein Film sagt mehr als tausend Worte

Seit mehreren Jahren verfolgen Wissenschaftler*innen des Helmholtz-Zentrums Dresden-Rossendorf (HZDR) einen völlig neuen Ansatz zur Therapie neurodegenerativer Erkrankungen, speziell der Amyotrophen Lateralsklerose – kurz ALS. Mit einem Film machen sie auf ihr Forschungsprojekt „ThaXonian“ (Magnetic Axon Therapy) aufmerksam. Sie hoffen, auf diesem Weg „ThaXonian“ bekannter zu machen und neue Finanzquellen zur Fortsetzung des Vorhabens zu erschließen. Mit Magnetpulsen wollen die Wissenschaftler*innen gestörte Nervenzellen reaktivieren. Nachdem dies im Zellexperiment erfolgreich gelungen ist, arbeitet das Team um Dr. Thomas Herrmannsdörfer nun mit Hochdruck…

Medizintechnik

Kleiner, leichter, günstiger – das Low-Field-MRT

Forscher des Fachbereichs Informationstechnik an der Fachhochschule Dortmund arbeiten an einem mobilen Magnetresonanztomografie-Gerät (MRT) für medizinische Diagnosen. Das Low-Field-MRT ist nicht nur kleiner, leichter und damit beweglicher, es kostet auch nur einen Bruchteil der großen MRT-Röhren. „Wir knüpfen mit unserer Arbeit an die Ursprünge des MRT an“, erklärt Prof. Dr. Benjamin Meküc vom Fachbereich Informationstechnik der FH Dortmund. Anfang der 80er-Jahre hat die Magnetresonanztomografie mit Magnetfeldern niedriger Stärke gearbeitet, diese dann aber stetig gesteigert, um genauere Bilder von Organen und…

Medizintechnik

Pionierforschung: Nichtinvasive Hirnstimulation mit höchster Präzision

ERC Consolidator Grant für Charité-Neurowissenschaftler Surjo Soekadar. Ausgefeilte Technologien zur Hirnstimulation und Gehirn-Computer-Schnittstellen sind das Feld von Prof. Dr. Surjo Soekadar, Einstein-Professor für Klinische Neurotechnologie an der Charité – Universitätsmedizin Berlin. Mit seinem Team entwickelt und erprobt er Systeme, die eine Kommunikation zwischen dem Gehirn und externen Geräten ermöglichen. Auf diese Weise können unter anderem Schwerstgelähmte kraft ihrer Gedanken Exoskelette steuern. Doch die Systeme stoßen an Grenzen. Und tiefer im Schädelinneren gelegene Hirnareale sind nur schwer zu erreichen. Eine neue…

Medizintechnik

4D-Druck für die Nervenstimulation

Elektroden falten sich selbst und stimulieren feine Nerven Manche Nerven können künstlich stimuliert werden, zum Beispiel um Schmerzen zu behandeln. Je feiner der Nerv, desto schwieriger ist es, die dafür nötigen Elektroden anzubringen. Forschende der Technischen Universität München (TUM) und von NTT Research haben nun flexible Elektroden entwickelt, die sie per 4D-Druck herstellen können. Bei Kontakt mit Feuchtigkeit falten sich diese von selbst und wickeln sich um dünne Nerven. Das Nervensystem steuert unsere Bewegungen durch elektrische Impulse. Sie werden von…

Medizintechnik

Bedeutender Fortschritt für neue Bildgebung in der Krebsdiagnostik

Wegweisende Methode bietet schnelle und kostengünstige Möglichkeit, krankhafte Stoffwechselvorgänge live im Magnetresonanztomografen zu beobachten / Herstellung von biologischen Kontrastmitteln / Veröffentlichung in Angewandte Chemie International Edition. Ein Team von Wissenschaftler*innen des Universitätsklinikums Freiburg, des Deutschen Konsortiums für Translationale Krebsforschung (DKTK) und weiterer Standorte hat einen entscheidenden Fortschritt erzielt, um Stoffwechselvorgänge im Körper mittels metabolischer Magnetresonanztomografie (MRT) live beobachten zu können. Sie entwickelten eine Methode, um natürlich im Körper vorkommende Moleküle günstig, sicher und schnell so zu verändern, dass sie zehntausendfach…

Rückmeldung