Medizintechnik

Medizintechnik

Mobile Systeme ermöglichen Diagnosen: schnell und überall!

Lebensrettende Therapien medizinischer Notfälle erfordern zu allererst eine schnelle und sichere Diagnostik. Oft vergeht wertvolle Zeit für den Patienten, z.B….

Medizintechnik

Neue Therapie in der Wundheilung auf der MEDICA

Den ersten Kaltplasma-Jet zur Verbesserung der Wundheilung werden Greifswalder Wissenschaftler auf der internationalen Fachmesse MEDICA in Düsseldorf…

Medizintechnik

Wirksam und sicher – Bewertung der ersten zehn Jahre Darmspiegelung in der Krebsvorsorge

Deutschland war 2002 eines der ersten Länder weltweit, das die Darmspiegelung als Bestandteil des gesetzlichen Krebsvorsorgeprogramms eingeführt hat.

AI Generated Image
Medizintechnik

Neue Behandlungsmethode für Patienten mit Lebermetastasen an der MHH

Spezialisten der Medizinischen Hochschule Hannover (MHH) haben erstmals eine neue Therapie zur Behandlung von Lebertumoren erfolgreich an zwei Patienten…

Medizintechnik

Prostatakrebs schnell und sicher diagnostizieren

Ein neues Gerät erleichtert Ärzten die Diagnose: Über eine optische Analyse können sie innerhalb von eineinhalb Minuten zuverlässig sagen, ob es sich um ein…

Medizintechnik

Endoskopie mit Panoramablick

Schmerzt das Wasserlassen oder befindet sich Blut im Urin, könnte das auf ein Blasenkarzinom hindeuten. Klarheit verschafft eine Untersuchung mit dem Endoskop:…

Medizintechnik

3D-Drucker helfen Neuroradiologen

Etwa 1,5-5% der Bevölkerung entwickelt im Laufe des Lebens ein Aneurysma. Dabei handelt es sich um eine sack- oder spindelförmige Ausweitung der Gefäßwand. Die…

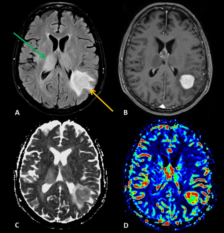
Medizintechnik

Stoffwechseldaten des gesamten Gehirns innerhalb einer Messzeit von 16 Minuten

Pro Jahr wird bei knapp 7.000 Menschen in Deutschland ein Hirntumor diagnostiziert. Die genaue Bestimmung der Tumorart und des Grades der Malignität…

Medizintechnik

PET-MRT: Neues Bildgebungsverfahren verbessert die Treffsicherheit der Diagnostik bei Hirntumoren

Nach Angaben des Robert Koch-Instituts versterben pro Jahr in Deutschland über 5.500 Patienten an Hirntumoren. Die individualisierte Krebstherapie hat aber…

Medizintechnik

Flexible OP-Technik folgt menschlicher Anatomie

Ärzte der Ulmer Universitätsklinik für Hals-, Nasen- und Ohrenheilkunde nutzen mit als erste das von einer US-Firma entwickelte flexible robotische…

Medizintechnik

Wie wirksam sind Anti-Aging-Produkte? Lasertechnologie erleichtert Tests der Kosmetikindustrie

Für die Entwicklung des Laser-Tomographen wurde Karsten König, Professor für Biophotonik und Lasertechnologie der Universität des Saarlandes, jetzt in Mailand…

Medizintechnik

Standardisierte Verletzungen an Hautmodellen für die Entwicklung von Wundheilungstherapien

Am Fraunhofer-Institut für Silicatforschung ISC wurde in Zusammenarbeit mit der Fraunhofer IGB-Projektgruppe Würzburg und dem Translationszentrum »Regenerative…

Medizintechnik

Neues SPECT-System kann fast jeden Patienten scannen und verringert Kosten

Siemens Healthcare hat das Symbia Evo Excel SPECT-System auf dem 27. Kongress der Europäischen Gesellschaft für Nuklearmedizin (EANM) vorgestellt. Das System…

Medizintechnik

Extrem hochaufgelöste Magnetresonanztomografie

Mit einem üblichen, in der Klinik zum Einsatz kommenden Magnetresonanztomografen (englisch: MRI) können Details bis zu etwa einem Zehntel Millimeter sichtbar…

Medizintechnik

Moderne Chirurgie bei Tumoren: Heilung gelingt häufig

Jährlich erkranken in Deutschland rund 500.000 Menschen neu an Krebs, knapp 70.000 von ihnen allein an Darmkrebs. Standardtherapie bei klar umgrenzten Tumoren…

Medizintechnik

Optris Kontrollsystem zur Erkennung fieberkranker Reisender

Das Ebolafieber und andere Erkrankungen sind hochgefährlich und werden von kranken Menschen oder kontaminierten Gegenständen übertragen. In unserer…

Rückmeldung