Medizintechnik

Medizintechnik

Früherkennung bei Lungenkrebs: Screening, aber richtig!

Krebsfrüherkennungsprogramme existieren im deutschen Gesundheitswesen unter anderem für den Brustkrebs, den Gebärmutterhalskrebs und den Darmkrebs. In den…

Medizintechnik

Nur drei Uniklinika in Deutschland nutzen diese moderne Technik: Kehlkopf-Spiegelung in 3-D am UKL

Prof. Michael Fuchs ist Leiter der Sektion Phoniatrie und Audiologie der Klinik und Poliklinik für Hals-, Nasen-, Ohrenheilkunde. Er ist begeistert von den…

Medizintechnik

Röntgenkongress: Molekulare Bildgebung für bestmögliche Demenz-Abklärung

„Eine bildgebende Hirnuntersuchung gehört bei der Abklärung von Patienten mit Demenzerkrankungen zum Standard“, betont Prof. Dr. Henryk Barthel von der Klinik…

Medizintechnik

Niedrig-Risiko-Prostatakarzinom erstmals in Deutschland mit Laserfasern behandelt

Bisher hatten Patienten mit einem Prostatakarzinom geringen Risikos in Deutschland lediglich drei Therapieoptionen: Eine Bestrahlung des Tumors, eine…

Medizintechnik

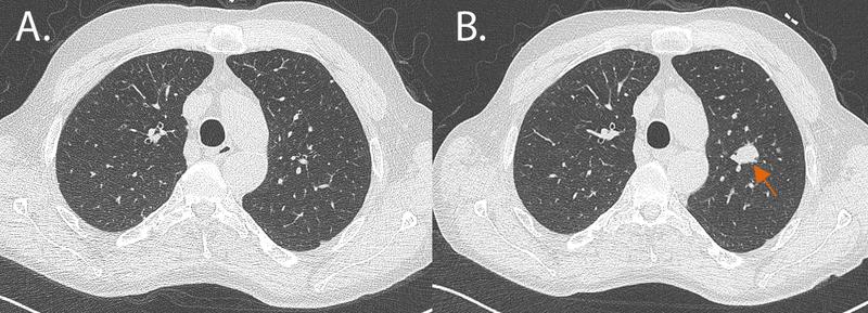
Röntgenkongress: Neuronales Netz blickt tief in die Lunge

„Wenn wir uns als Radiologen CT-Bilder ansehen, dann sehen wir helle und dunklere Areale und beurteilen das Organ anhand dieser Helligkeitsunterschiede“, sagt…

Medizintechnik

Nano-Drähte auf Stents sollen Kindern mit Herzfehler unnötige Eingriffe ersparen

Ist bei Kindern mit angeborenem Herzfehler ein operativer Eingriff notwendig, können Gefäßstützen (Stents), die kathetergestützt eingebracht werden, helfen den…

Medizintechnik

Neueste Methode zur Behandlung undichter Herzklappen am Universitätsklinikum Gießen

Den Spezialisten der Medizinischen Klinik I, Herz- und Gefäßzentrum Gießen ist damit ein weiterer Schritt zur minimal-invasiven Versorgung von…

Medizintechnik

Bestrahlungserfolg bei Hirntumoren lässt sich mit kombinierter PET/MRT vorhersagen

Patienten mit Glioblastom, einer besonders aggressiven Variante von Hirntumoren, entwickeln oft sogenannte Rezidive – das bedeutet, der Tumor kehrt trotz der…

Medizintechnik

Nuklearmedizinische Herzuntersuchungen – Neue Techniken, größere Präzision

Die Hauptursache von Herzerkrankungen liegt in der Arteriosklerose, der Veränderung der Gefäßwände. Sie betrifft insbesondere die Herzkranzgefäße, die den…

Medizintechnik

Neues Hightech-Gerät im Einsatz: Mit modernem PET/CT-Scanner Tumoren früher als bisher aufspüren

„Mit dem neuen PET/CT-System ist es möglich, Tumoren früher als bisher aufzuspüren, die Entwicklung der Erkrankung sicherer zu begleiten, dadurch die optimale…

Medizintechnik

Neue Computer-Architektur: Zeitraffer für die Demenz-Forschung

Die Zeit drängt: Denn Demenz-Erkrankungen wie Alzheimer zählen bereits heute zu den größten Herausforderungen in der Medizin. Das Problem wird sich durch die…

Medizintechnik

Tattoo-Elektroden aus dem Tintenstrahldrucker zur medizinischen Langzeitdiagnostik

Bei Diagnoseverfahren wie dem Elektrokardiogramm (EKG) oder der Elektromyografie (EMG) kommen heute vorzugsweise Gel-Elektroden zur Übertragung elektrischer…

Medizintechnik

Tiefer Blick in die Gehirnfunktion

Wie das Gehirn die beeindruckende Vielfalt unseres Denkens, Fühlens und Handelns hervorbringt, wird seit Jahren mit bildgebenden Verfahren wie der…

Medizintechnik

Forscher der Universität Münster machen Fliegen-Herzschlag sichtbar / Software erkennt Puls

Winzigen Fliegen ins Herz geblickt: Wissenschaftler aus dem Exzellenzcluster „Cells in Motion“ der Westfälischen Wilhelms-Universität Münster (WWU) haben eine…

Medizintechnik

Bildgebung per Terahertzwellen: Neuartiger Chip für Anwendungen in der Biomedizin entwickelt

„Bei der Entwicklung des Chips haben wir neue Wege der hochauflösenden Bildgebung mittels Terahertzwellen beschritten“, ordnet Prof. Pfeiffer das Projekt ein….

Medizintechnik

Im Netzwerk winziger Blutgefäße: Virtuelle Erkundungsreisen mit neuer Software aus Bayreuth

Die Forschergruppen um Prof. Dr. Michael Guthe und Dr. Oleg Lobachev in Bayreuth (Informatik) und Prof. Dr. Birte Steiniger in Marburg (Anatomie) haben 2017…

Rückmeldung