Medizintechnik

Medizintechnik

Elastografie verbessert Therapie bei Morbus Crohn

Bei Morbus Crohn Patienten kann verändertes Darmgewebe durch eine innovative Methode, die Elastografie, verlässlich diagnostiziert werden. Dies zeigen…

Medizintechnik

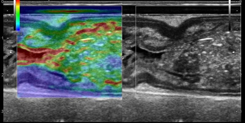
Ultraschall statt Stich in die Leber: Elastografie ersetzt Gewebeproben

Eine Million Menschen in Deutschland leiden an einer Lebererkrankung wie Fettleber oder Hepatitis. Ohne Behandlung droht ihnen eine Leberzirrhose oder -krebs….

Medizintechnik

Herzkatheter: Wechsel der Methode reduziert Sterblichkeit deutlich

Pro Jahr werden in der Schweiz rund 46'000 Herzkatheter-Untersuchungen durchgeführt, etwa 22'000 sind verbunden mit einer Behandlung der Herzkranzgefässe….

Medizintechnik

Roboter vereinfachen Stimmband-Operationen

Stimmbänder sind klein, empfindlich und schwer zugänglich: Chirurgische Eingriffe bergen daher das Risiko bleibender Schäden, vor allem bei Krebspatienten.

Medizintechnik

Operationsraum der Zukunft für innovative Diagnostik in Mannheim

Die Medizintechnologie ist eine der weltweit größten Wachstumsbranchen. Mit dem Cubex41 macht sich die Stadt Mannheim weiter fit für diesen Wirtschaftssektor.

Medizintechnik

Mit Infrarot dem Krebs auf der Spur

Die Abkürzung EngCaBra steht für „Biomedical engineering for cancer and brain disease diagnosis and therapy development”. Die Kombination der…

Medizintechnik

Forscher kopieren komplettes Organ auf einen Chip

Ein völlig funktionsfähiges Netzwerk aus pulsierenden Herzmuskelzellen auf einem kleinen Silikon-Chip hat ein Forscherteam von der University of Berkeley http://cjc.edu…

Medizintechnik

Entscheidender Schritt für medizinische Diagnostik

Proteine sind die zentralen Bausteine des Lebens. Zellen beispielsweise sind aus einer Vielzahl verschiedener Proteinen zusammengesetzt. Ihr Zusammenspiel…

Medizintechnik

Lungenfunktion messen mit dem Elektrodengurt

Künstliche Beatmung ist in der Intensivmedizin oft unverzichtbar – sie kann aber an sich zu einer weiteren Lungenschädigung führen. Es ist daher wichtig,…

Medizintechnik

Die Mischung macht‘s: Kombination von bildgebenden Verfahren verbessert Diagnostik

Die Magnetresonanztomographie (MRT) bietet ein hochauflösendes Verfahren zur klinisch-diagnostischen Bildgebung bei Patienten. Häufig kommen zusätzlich…

Medizintechnik

Dem Sepsis-Schnelltest ein Stück näher

Sepsis oder umgangssprachlich „Blutvergiftung“ ist die dritthäufigste Todesursache in Deutschland. Jährlich sterben etwa 60.000 Patienten an ihr, das sind…

Medizintechnik

Herzklappen automatisch im Ultraschallbild ausmessen

Die automatische Berechnung wird nun durch eine neue Ultraschallsonde von Siemens möglich, die nahtlose 3D-Aufnahmen des Herzens in Echtzeit erzeugt und sie…

Medizintechnik

Spektakuläre Studien zur endovaskulären Therapie: komplexe Schlaganfalltherapie mit großem Nutzen

Nach Einschätzung der Deutschen Schlaganfall-Gesellschaft (DSG), der Deutschen Gesellschaft für Neurologie (DGN) und der Deutschen Gesellschaft für…

Medizintechnik

Nicht geklont, aber rekonstruiert – 3D-Drucker bildet menschliche Körperteile exakt nach

In der Klinik für Mund-, Kiefer- und Gesichtschirurgie (MKG) der Universitätsmedizin Mainz wird Science-Fiction zur Realität: Hier entstehen individuelle…

Medizintechnik

Die erste ringförmige autoklavierbare High Brightness LED von SCHOTT

Der internationale Technologiekonzern SCHOTT hat eine neue ringförmige High Brightness LED entwickelt. Die SolidurTM Ring-LED ist die weltweit erste…

Medizintechnik

Optimierter Einsatz von Hochleistungsultraschall

Die nichtlineare Akustik ist derzeit ein vielbeachtetes Forschungsgebiet, geht es doch bei ihrer Anwendung um die Verbesserung von Ultraschallreinigung,…

Rückmeldung